Carlos Blanco · Age 42 · 5'7" / 160 lbs · DOB: Feb 17, 1984 · Updated April 16, 2026
| Daily Steps | 18,990 (Apr 1) |
| Exercise Min/Day | 122.7 min avg |
| Workouts (90d) | 56 |
| Workouts (year) | 234 |
| Walking Speed | 2.92 km/h |
| Walking Steadiness | 93.2% |
| Max Steps (1 day) | 81,064! |
| Resting HR | 49 bpm |
| Average HR | 98 bpm |
| Walking HR | 96 bpm |
| HRV (SDNN) | 67 ms (↑ great progress!) |
| HR Range | 47-158 bpm |
| ECGs on File | 12 |
| Resp Rate | 14.8 /min |
| Height | 5'7" (170 cm) |
| Weight | 160 lbs (72.6 kg) |
| BMI | ~25.1 |
| Blood Type | — |
| Ancestry | 99.5% Spanish |
| Neanderthal | Top 26% |
| PSA | 1.0 (Oct '24) |
| Data Period | Feb 5 – Apr 2, 2026 (38 nights) |
| Sleep Efficiency | 89% |
| Respiratory Rate | 14.3 /min |
| Chronotype | Late (confirmed) |
| Room Temperature | 21-26°C (slightly warm) |
| Ideal Room Temp | 18-20°C |
| Date | Total | Deep | REM | HR | HRV |
|---|---|---|---|---|---|
| Apr 2 🌙 | 8h10m | 49m (10%) ⚠️ | 173m (35%) 🔥 | 52 | — |
| Apr 1 | 8h29m | 104m (20%) | 95m (19%) | 53 | — |
| Mar 31 | 8h07m | 120m (25%) ✅ | 69m (14%) | 48 | — |
| Mar 25 | 8h00m | 100m (20%) | 139m (28%) | 55 | 261 |
| Mar 24 | 6h31m | 91m (23%) | 92m (23%) | 58 | 225 |
| Mar 23 | 7h16m | 85m (19%) | 100m (23%) | 63 | 164 |
| Mar 22 | 7h52m | 76m (16%) | 145m (30%) | 61 | 196 |
| Mar 21 | 6h28m | 83m (21%) | 110m (28%) | 61 | 190 |
| Mar 20 | 6h22m | 73m (19%) | 116m (30%) | 56 | 190 |
| Mar 19 | 7h01m | 106m (25%) | 82m (19%) | 60 | 131 |
| Marker | Dec 2021 | Oct 2024 | Feb 2025 | Mar 2026 | Apr 2026 | Status |
|---|---|---|---|---|---|---|
| Total T | 448 | 403/1025 | 599 | >1500 | 1131 | Supra |
| Free T | 91.4 | 10.8 | 16.2 | 371 | 324.13 | High |
| Estradiol E2 | 28 | <5 | 47.6 | 58.9 | 47.8 | ↓18% |
| SHBG | 21 | 19.3 | 18 | 28.7 | 20.9 | Low-norm |
| DHEA-S | 169 | 271 | 234 | — | — | ↑ Improving |
| IGF-1 | — | 198 | 173 | — | — | Normal |
| FSH | 7.6 | <0.3 | 0.3 | — | — | Suppressed |
| LH | 5.5 | 0.5 | 0.1 | — | — | Suppressed |
| PSA | — | 1.0 | 0.79 | — | — | Excellent |
| B12 | 966→893→730 | Stable ✅ |
| Folate | >20 | Excellent ✅ |
| Free T3 | 3.5→3.68 | Good ✅ |
| Homocysteine | 8.5→7.2 | Improved ✅ |
| Albumin | 5.15 | Slightly high |
| Marker | Latest | Status |
|---|---|---|
| Creatinine | 0.97 | Kidneys ✅ |
| eGFR | 78-79 | Normal |
| ALT (liver) | 45 (Feb 25) | Normal (was 57) |
| Glucose | 84 (Feb 25) | Normal |
| HbA1c | 5.0% (Feb 25) | Normal |
| Uric Acid | 6.3 | Slightly high |
| Region | Apr 2023 | Apr 2024 | Change |
|---|---|---|---|
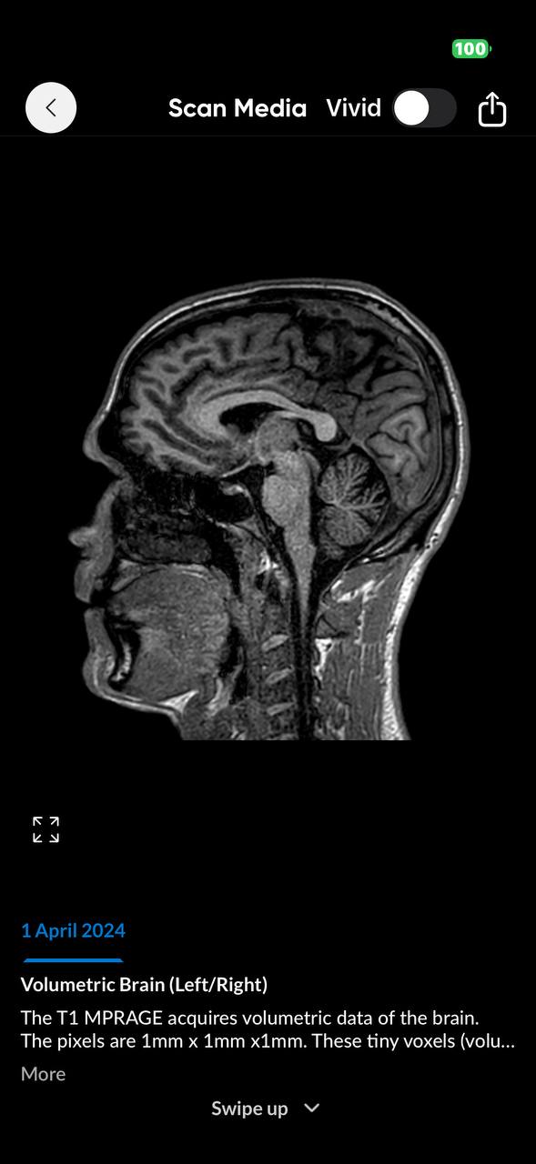
| 🧠 Brain | Normal | Normal | Stable ✅ |
| ❤️ Heart | Normal | Normal | Stable ✅ |
| 🫁 Lungs | Normal | Normal | Stable ✅ |
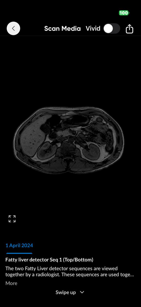
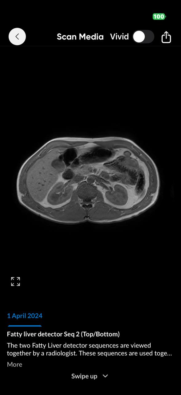
| 🫘 Liver | No fatty liver | No fatty liver | Stable ✅ |
| 🫘 Kidneys | Normal | Normal | Stable ✅ |
| 🟡 Pancreas | Normal | Normal | Stable ✅ |
| 🟣 Prostate | 21 mL | 18.2 mL | ↓ Normal |
| 🦴 Joints | All clear | All clear | Stable ✅ |
| 🦴 L5/S1 Disc | 25% height loss | Bulge + fissure | Monitor |
| T6 Hemangioma | 0.9 cm | 0.9 cm | Unchanged ✅ |









| DXA Z-score (Jan 2025) | -0.3 (Normal) |
| Total BMD | 1.215 g/cm² |
| Fountain Life DXA (2021) | Baseline ✅ |
| Dysbiosis | Inflammatory |
| H. pylori | Borderline |
| Zonulin | Elevated (leaky gut) |
| ✅ | Alzheimer's Disease | No variants |
| ✅ | Parkinson's Disease | No variants |
| ✅ | Hereditary Heart Disease | No variants |
| ✅ | Familial Hypercholesterolemia | No variants |
| ✅ | Hereditary Hemochromatosis | No HFE variants |
| ✅ | Type 2 Diabetes | Typical risk |
| ⚠️ | Macular Degeneration | Increased risk |
| ⚠️ | Celiac Disease | Increased risk |
| ⚠️ | Triglycerides | Genetic predisposition |
| ⚠️ | Prostate Cancer | Listed |
| ⚠️ | Sat Fat Sensitivity | Weight gain risk |
| Planeta | Signo | Casa | Dominio |
|---|---|---|---|
| ☉ Sol | ♒ Acuario | 5 | Esencia, identidad, creatividad |
| ☽ Luna | ♍ Virgo | 11 | Emociones, inconsciente, amistades |
| ☿ Mercurio | ♒ Acuario | 4 | Comunicación, intelecto |
| ♀ Venus | ♑ Capricornio | 4 | Amor, dinero, valores |
| ♂ Marte | ♏ Escorpio | 2 | Acción, ambición, finanzas |
| ♃ Júpiter | ♑ Capricornio | 3 | Expansión, suerte, visión |
| ♄ Saturno | ♏ Escorpio | 2 | Disciplina, estructura, finanzas |
| ♅ Urano | ♐ Sagitario | 2 | Innovación, libertad |
| ♆ Neptuno | ♐ Sagitario | 3 | Espiritualidad, intuición |
| ♇ Plutón | ♎ Libra | 1 | Transformación, poder personal |
| Tránsito | Período | Efecto |
|---|---|---|
| ⚡ Urano □ Sol | Ene–May | Cambios radicales en identidad y dirección de vida. Innovar o estancarse. |
| ♇ Plutón □ Saturno | Abr–May | Transformación profunda de estructuras financieras y patrimoniales. |
| 🪐 Saturno ☍ ASC | Jun–Sep | Prueba de relaciones. Lo sólido se fortifica, lo débil se rompe. |
| 🪐 Saturno □ Venus | May–Oct | Restructuración de relaciones y valores financieros. Disciplina. |
| 🪐 Saturno □ Júpiter | May–Dic | Consolidar antes de expandir. Optimizar las 72 casas, no comprar 50 más. |
| ♃ Júpiter ⚹ Luna | Ene–May | Protección emocional, expansión del hogar y familia |
| ♃ Júpiter △ Marte | Mar | Energía expansiva, coraje para nuevos proyectos |
| 🪐 Saturno ⚹ Mercurio | Jun–Sep | Pensamiento disciplinado, buenas decisiones de negocio |
| ♃ Júpiter ⚹ ASC | Sep | Mejora de imagen pública y relaciones |
| Año | Tipo | Tema | Tránsitos Clave | Estado |
|---|---|---|---|---|
| 1984 | 🌟 Carta Natal | Nacimiento — Sol Acuario, ASC Libra | N/A (mapa de vida) | ON FILE |
| 2020–2021 | 🔮 Tránsitos | Expansión — Júpiter ☌ Sol | Júpiter conjunción Sol (Abr–Ago '21), Saturno □ Urano natal | ON FILE |
| 2026 | 🔮 Tránsitos | "El Arquitecto se Reconstruye" | Urano □ Sol · Saturno ☍ ASC · Plutón □ Saturno · Saturno □ Venus | CURRENT |
| 2027 | 🔮 Tránsitos | Pendiente | — | FUTURE |
| Gene | Your Variant | Impact |
|---|---|---|
| ACE | DD | Major BP gene — angiotensin overactivity |
| CETP | GG/GG | Explains high LDL (133.4) |
| IL-6 | GC | Inflammatory double-hit |
| IL-6R | AC | Amplified IL-6 signaling |
| ENOS | GT | Reduced nitric oxide |
| AGT | AG | Angiotensinogen variant |
| APOE | E3/E3 | Optimal — no added risk |
| Lp(a) | <10 | No genetic CVD risk |
| Gene | Your Variant | Impact |
|---|---|---|
| DRD2 | TT | 30% fewer dopamine receptors |
| MAOA | TT | Warrior gene — intense under stress |
| GABRA2 | AG | Impaired GABA (calm signal) |
| GAD1 | CT | GABA double-hit |
| 5HT2A | GA | Serotonin receptor variant |
| COMT | GA | Intermediate dopamine clearance |
| Gene | Your Variant | Impact |
|---|---|---|
| CYP19A1 | TT | Aromatase — explains E2 58.9 on TRT |
| UGT2B15 | TG | Impaired estrogen clearance |
| DIO2 | TC | Reduced T4→T3 (explains TSH 5.03) |
| IRS1 | CT | Reduced insulin signaling |
| ADRB2 | GG/GG | Fat cells deaf to adrenaline |
| LEPR | AG/AG | Can't feel full (leptin resist) |
| ACTN3 | XX | Endurance athlete (no fast-twitch) |
| FTO | TT | No obesity gene risk |
| # | Supplement | Dose | Target Genes |
|---|---|---|---|
| 1 | Omega-3 Fish Oil | 3,000mg EPA/DHA | FADS1 GT + FADS2 CG (↑ from 2g for HDL/TG) |
| 2 | Niacin ER (B3) | 500mg | NEW — HDL↑ 15-30%, TG↓. Discuss w/ Dr. Cole |
| 3 | CoQ10 (Ubiquinol) | 200mg | ACE DD + ENOS GT |
| 3 | Vitamin D3 | 5,000 IU | CYP2R1 AG + GC AC + VDR |
| 4 | Vitamin K2 (MK-7) | 200mcg | CETP GG + COL1A1 TT |
| 5 | Curcumin (Meriva) | 500mg | IL-6 GC + IL-6R AC |
| 6 | NAC | 600mg | GSTM1 DELETED |
| 7 | Methylated B-Complex | 1 cap | MTHFR 677 CT |
| 8 | L-Tyrosine | 500mg | DRD2 TT (dopamine) |
| 9 | CDP-Choline | 500mg | MTHFD1 GA (choline) |
| 10 | Calcium Citrate | 500mg | COL1A1 TT (bone) |
| 11 | Collagen Peptides | 10g | COL1A1 TT + MMP1 + GDF5 |
| 12 | Creatine Monohydrate | 5g | ACTN3 XX + memory |
| 13 | L-Carnitine (ALCAR) | 1,000mg | ADRB2 GG + PPARA GC |
| 14 | DIM | 200mg | CYP19A1 TT (aromatase) |
| 15 | Calcium D-Glucarate | 500mg | UGT2B15 TG (estrogen) |
| 16 | Selenium | 200mcg | DIO2 TC (thyroid) |
| 17 | Glucosamine/Chondroitin | 1500/1200mg | GDF5 TT (joints) |
| # | Supplement | Dose | Target Genes |
|---|---|---|---|
| 1 | Omega-3 Fish Oil | 3,000mg EPA/DHA | FADS1/FADS2 (split dose, ↑ for HDL/TG) |
| 2 | Magnesium Glycinate | 400mg | ACE DD + GABRA2 AG |
| 3 | Curcumin (Meriva) | 500mg | IL-6 (split dose) |
| 4 | CoQ10 (Ubiquinol) | 200mg | Vascular (split dose) |
| 5 | Berberine | 500mg | IRS1 CT (insulin + LDL) |
| Supplement | Dose | When |
|---|---|---|
| 5-HTP | 100mg | High stress days |
| DAO Enzyme | 1 cap | Before histamine meals |
| Beetroot Powder | 1 scoop | Pre-workout (NO boost) |
| L-Theanine | 200mg | Stress / before bed |
| Quercetin | 500mg | Histamine flares |
| Mucuna Pruriens | 300mg | Low motivation days |
| # | Supplement | Primary Organ | Why It Matters For Carlos | Lab/Genetic Evidence |
|---|---|---|---|---|
| 1 | Omega-3 Fish Oil (4g/day) | 🫀 Heart + 🧠 Brain | FADS1/FADS2 variants mean you can't efficiently convert plant omega-3 (ALA) to EPA/DHA. Direct fish oil is essential. Lowers TGs, supports cardiac membrane integrity, and provides neuroprotection. | FADS1 GT · FADS2 CG · TGs 131 (was 329) · LDL 133.4 ⚠️ |
| 2 | CoQ10 Ubiquinol (400mg/day) | 🫀 Heart + ⚡ Mitochondria | ACE DD + ENOS GT = vascular double-hit. CoQ10 fuels the electron transport chain in every cell, but especially heart muscle. Supports blood pressure regulation and energy production at the cellular level. | ACE DD · ENOS GT · RHR 49 bpm ✅ · BP needs monitoring |
| 3 | Vitamin D3 (5,000 IU) | 🦴 Bones + 🛡️ Immune | Triple impairment: CYP2R1 AG + GC AC + VDR variants all slow your D3 pathway. You went from deficient (29) to optimal (64.4) — this dose maintains it. Critical for bone density (L5/S1 degeneration) and immune modulation. | CYP2R1 AG · GC AC · VDR · Vit D: 29→50→38→64.4 ✅ |
| 4 | Vitamin K2 MK-7 (200mcg) | 🦴 Bones + 🫀 Arteries | K2 is the "traffic cop" for calcium — directs it INTO bones and AWAY from arteries. With your high LDL/ApoB, preventing arterial calcification is critical. Works synergistically with D3 and your COL1A1 TT bone vulnerability. | CETP GG · COL1A1 TT · ApoB 108 ⚠️ (↓21%) · DEXA Z-score -0.3 |
| 5 | Curcumin Meriva (1g/day) | 🫘 Liver + 🔥 Systemic | IL-6 GC + IL-6R AC = genetic inflammation double-hit. Curcumin is the most potent natural IL-6 suppressor. Supports liver clearance of metabolic waste and helps keep hs-CRP at its current excellent level (<0.5). | IL-6 GC · IL-6R AC · hs-CRP <0.5 ✅ · Liver fat was 7.3% |
| 6 | NAC (600mg) | 🫘 Liver + 🫁 Lungs | GSTM1 DELETED = your Phase II liver detox pathway is missing. NAC is the precursor to glutathione (master antioxidant), compensating for this genetic gap. Also protects lung tissue and supports liver processing of TRT metabolites. | GSTM1 DELETED · SOD2 AG · ALT 45 (was 57) · T >1500 |
| 7 | Methylated B-Complex | 🧠 Brain + 🫘 Liver | MTHFR 677 CT = 35% reduced methylation capacity. Methylated B vitamins bypass this bottleneck, ensuring proper homocysteine clearance (yours improved: 8.5→7.2), neurotransmitter synthesis, and DNA repair. | MTHFR 677 CT · Homocysteine 7.2 ✅ · B12 730 ✅ · Folate >20 ✅ |
| 8 | L-Tyrosine (500mg) | 🧠 Brain (Dopamine) | DRD2 TT = 30% fewer dopamine receptors. Tyrosine is the direct precursor to dopamine. Supports focus, motivation, and cognitive resilience — especially important during high-stress periods. | DRD2 TT · MAOA TT (warrior gene) · COMT GA |
| 9 | CDP-Choline (500mg) | 🧠 Brain (Memory) | MTHFD1 GA = higher choline demand. Choline is essential for acetylcholine (memory neurotransmitter) and cell membrane integrity. Your genetics require 550mg+/day — diet alone won't cover it. | MTHFD1 GA · HIGH choline demand · Nutrient demand: 🔴 HIGH |
| 10 | Calcium Citrate (500mg) | 🦴 Bones | COL1A1 TT = collagen gene variant affecting bone matrix quality. Combined with your L5/S1 disc degeneration (Prenuvo), calcium supports structural integrity. Citrate form for better absorption. | COL1A1 TT · L5/S1 bulge + 25% height loss · DEXA Z -0.3 |
| 11 | Collagen Peptides (10g) | 🦴 Joints + 🧬 Connective Tissue | Triple joint vulnerability: COL1A1 TT + MMP1 + GDF5 TT. Collagen peptides provide the raw building blocks for cartilage, tendons, and disc repair. Directly addresses your Prenuvo spinal findings. | COL1A1 TT · MMP1 · GDF5 TT · L5/S1 annular fissure |
| 12 | Creatine Monohydrate (5g) | 🧠 Brain + 💪 Muscle | ACTN3 XX = endurance genotype (no fast-twitch protein). Creatine enhances ATP recycling for both cognitive performance and your high-volume daily activity (22K steps avg). Also neuroprotective. | ACTN3 XX · Steps: 22,353/day · VO2 Max 42.2 |
| 13 | L-Carnitine ALCAR (1g) | 🫀 Heart + ⚡ Mitochondria | ADRB2 GG/GG = fat cells are "deaf" to adrenaline. L-Carnitine physically transports fatty acids into mitochondria to be burned. This is the shuttle that forces your resistant fat cells to release energy. | ADRB2 GG/GG · PPARA GC · Fat storage: 🔴 VERY HIGH risk |
| 14 | DIM (200mg) | 🫘 Liver + ⚖️ Hormones | CYP19A1 TT = high aromatase activity (converts testosterone → estrogen). DIM promotes the "good" 2-OH estrogen metabolite pathway in the liver, helping clear excess E2. Critical with your T >1500 and E2 58.9. | CYP19A1 TT · E2 58.9 🔴 · T >1500 |
| 15 | Calcium D-Glucarate (500mg) | 🫘 Liver (Phase II Detox) | UGT2B15 TG = impaired estrogen glucuronidation (clearance). Ca-D-Glucarate inhibits beta-glucuronidase, preventing reabsorption of estrogen your liver already processed. Works with DIM as a 1-2 punch. | UGT2B15 TG · E2 climbing: 28→47.6→58.9 |
| 16 | Selenium (200mcg) | 🦋 Thyroid | DIO2 TC = reduced conversion of T4 → active T3. Selenium is a cofactor for deiodinase enzymes. You went from subclinical hypothyroid (TSH 5.03) to optimal (1.27) — selenium helps maintain this. | DIO2 TC · TSH: 5.03→1.06→1.55→1.27 ✅ |
| 17 | Glucosamine/Chondroitin | 🦴 Joints + 🦿 Cartilage | GDF5 TT = joint/cartilage vulnerability gene. Directly provides the building blocks for cartilage repair and synovial fluid. Addresses the L5/S1 disc degeneration and protects all joints given your 22K daily steps. | GDF5 TT · L5/S1 disc bulge · 22K steps/day · ACTN3 XX |
| E1 | Magnesium Glycinate (400mg) | 🫀 Heart + 🧠 Brain + 💤 Sleep | ACE DD (BP) + GABRA2 AG + GAD1 CT (impaired GABA/calm signaling). Magnesium glycinate crosses the blood-brain barrier, calms the nervous system, supports deep sleep (your 18% deep sleep), and helps regulate blood pressure. | ACE DD · GABRA2 AG · GAD1 CT · Deep sleep 77min (18%) |
| E2 | Berberine (500mg) | 🫘 Liver + 🩸 Blood Sugar | IRS1 CT = reduced insulin signaling. Berberine activates AMPK (the "exercise mimetic" enzyme), improves insulin sensitivity, and has statin-like LDL-lowering effects. Targets both your insulin history and current LDL 133.4. | IRS1 CT · Insulin: 23.6→8.7 ✅ · LDL 133.4 ⚠️ |
| Supplement | When | Target Organ | Why For Carlos |
|---|---|---|---|
| 5-HTP (100mg) | High stress days | 🧠 Brain (Serotonin) | 5HT2A GA variant + MAOA TT (warrior gene). Direct serotonin precursor for acute stress relief. Use sparingly — not daily. |
| DAO Enzyme | Before histamine meals | 🫘 Gut + 🛡️ Immune | DAO CG + HNMT CT + HNMT AG = triple histamine impairment. Your body clears histamine 3x slower. Take before aged cheese, wine, cured meats. |
| Beetroot Powder | Pre-workout | 🫀 Blood Vessels | ENOS GT = reduced nitric oxide production. Beetroot provides dietary nitrates → NO boost, improving blood flow and exercise performance. Compensates for your genetic NO deficit. |
| L-Theanine (200mg) | Stress / before bed | 🧠 Brain (GABA) | GABRA2 AG + GAD1 CT = impaired GABA system. L-Theanine promotes alpha brain waves and GABA activity without sedation. Pairs with Mg Glycinate for sleep. |
| Quercetin (500mg) | Histamine flares | 🛡️ Immune + 🫁 Lungs | Natural mast cell stabilizer — prevents histamine release at the source. Backup for your triple histamine impairment when DAO alone isn't enough. |
| Mucuna Pruriens (300mg) | Low motivation days | 🧠 Brain (Dopamine) | DRD2 TT = 30% fewer dopamine receptors. Mucuna contains natural L-DOPA (direct dopamine precursor). Use only on low days — not daily to avoid receptor downregulation. |
| Food | Why (Your Genes) | Goal |
|---|---|---|
| 🐟 Wild Salmon | FADS1/2 — can't convert plant omega-3 | 3-4x/week |
| 🫒 Extra Virgin Olive Oil | IL-6/IL-6R — anti-inflammatory | 2-3 tbsp/day |
| 🥦 Broccoli/Cauliflower | GSTM1 DEL — activates detox pathways | Daily |
| 🥚 Eggs (3/day) | MTHFD1 GA — high choline demand | 3 whole eggs |
| 🫐 Berries | SOD2 AG — antioxidant defense | 1 cup/day |
| 🥜 Almonds/Walnuts | CETP GG — plant sterols lower LDL | Handful/day |
| 🍵 Green Tea | CYP1A2 AC — L-theanine offsets caffeine | Replace coffee PM |
| 🧄 Garlic + Turmeric | IL-6 — natural anti-inflammatory | In every meal |
| 🫘 Lentils/Black Beans | IRS1 CT — slow-release carbs, fiber | 3-4x/week |
| 🥬 Kale/Spinach | VDR variants — calcium + folate source | Daily |
| Day | Type | Duration | Why (Genes) |
|---|---|---|---|
| Mon | Zone 2 Endurance | 45-60 min | ACTN3 XX — your body thrives at steady state. Run, cycle, swim. |
| Tue | HIIT Intervals | 25-30 min | ADRB2 GG/GG — ONLY way to force fat cells to respond. 30s max effort / 90s rest x 8-12 rounds. |
| Thu | Zone 2 Endurance | 45-60 min | ACE DD + ENOS GT — cardio lowers BP and boosts NO production. |
| Sat | HIIT / Sport | 30-45 min | Mix it up: sprints, boxing, tennis, padel. High-intensity to overcome fat resistance. |
| Day | Focus | Rep Range | Why (Genes) |
|---|---|---|---|
| Mon | Upper Body Push/Pull | 12-20 reps | ACTN3 XX — no fast-twitch protein. Time under tension > max weight. |
| Wed | Lower Body + Core | 12-20 reps | Squats, deadlifts, lunges. Build metabolic muscle to raise resting metabolism (UCP1 AG). |
| Fri | Full Body Compound | 12-20 reps | Rows, presses, clean+press. Compound movements = maximum muscle recruitment. |
| Parameter | Recommendation | Why (Your Genes) |
|---|---|---|
| Temperature | 174-194°F (79-90°C) | Traditional Finnish range |
| Duration | 15-25 minutes | Build up from 15 min. Goal: 20+ min for HSP activation |
| Frequency | 3-4x/week | 4+ sessions/week = 40% lower all-cause mortality (Laukkanen study) |
| Parameter | Recommendation | Why |
|---|---|---|
| Cold Plunge / Shower | 50-59°F (10-15°C) | Activates brown fat (UCP1), norepinephrine surge |
| Duration | 2-5 minutes | Minimum 11 min total/week for metabolic benefit |
| Contrast Therapy | Sauna → Cold → Repeat 3x | Maximizes vascular training + dopamine (+250-300% Huberman data) |
| Day | AM — Exercise | PM — Recovery | Supplements |
|---|---|---|---|
| MON | Zone 2 Cardio 45-60m + Upper Body 12-20 reps | Sauna 20m → Cold 3m | Beetroot pre-workout · All AM supps |
| TUE | HIIT 25-30m (8-12 intervals) | Rest / Stretch | L-Carnitine extra pre-HIIT |
| WED | Lower Body + Core 12-20 reps | Sauna 20m → Cold 3m | Glucosamine/Chondroitin (daily) |
| THU | Zone 2 Cardio 45-60m | Sauna 20m | Beetroot pre-workout |
| FRI | Full Body Compound 12-20 reps | Rest / Mobility | Creatine + Collagen |
| SAT | HIIT / Sport 30-45m (tennis, padel, boxing) | Sauna 20m → Cold 3m | Full recovery stack |
| SUN | Active recovery — walk, stretch, yoga | Rest / Social | Mucuna if motivation low |
| ● | LDL 133.4 + ApoB 108 — protocol working, continue regimen | Ongoing |
| ● | Consider AI or TRT dose adjustment (E2 58.9) | This week |
| ● | Complete BRCA1/BRCA2 + Colorectal on 23andMe | Today (5 min) |
| ● | Schedule Prenuvo Scan #3 | Due April 2026 |
| ● | Sun tracking — dminder app installed, monitoring UV/Vitamin D | Daily via app |
| ● | Recheck fasting insulin + HbA1c | Next blood draw |
| ● | Repeat Cleerly cardiac CT (last: Dec 2021) | Given rising LDL |
| ● | Repeat GI MAP (gut retest) | Post-protocol |
| ● | Eye exam — macular degeneration flag | Annual |
| ● | Repeat DEXA scan (baseline Jan 2025) | Due Jan 2026 or sooner |
| ● | Repeat PNOE metabolic assessment | Annual |